Estenose do canal vertebral

Neste conteúdo, você vai saber:

O que é?

A Estenose do canal vertebral (ou estenose espinhal) é uma condição médica na qual há o estreitamento do canal vertebral, comprimindo a medula espinhal, no caso da coluna cervical (Estenose Cervical), e as raízes nervosas na coluna lombar (Estenose Lombar).

Estenose do canal vertebral lombar

Quais os sintomas?

Os sintomas giram em torno de dor axial (lombalgia, no eixo vertebral), bem como dor radicular ou sintomas parestésicos (claudicação neurogênica e perda de força muscular nos membros inferiores).

Como é feito o diagnóstico?

O diagnóstico da estenose lombar é feito principalmente através da história, exame clínico da ressonância magnética (RM), raios-x e tomografia da região lombar. A RM mostra detalhadamente a condição dos discos em relação à altura discal e abaulamento posterior. Revela precisamente o grau de compressão do canal vertebral bem como hipertrofia facetária e ligamentar posterior. Define de forma precisa os níveis sintomáticos que necessitarão de compressão cirúrgica. O diagnóstico pode ser complementado através de exames fisiológicos tais como eletroneuromiografia para definir quais nervos estão comprometidos a fim de direcionar a abordagem cirúrgica nos níveis comprometidos.

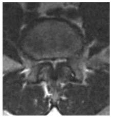
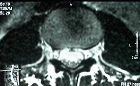
Imagem de Ressonância com Estenose grave do canal lombar.

Note a diferença de uma Ressonância de um canal vertebral normal.

A radiografia permite visualizar evidências de Artrite. A ressonância permite visualizar compressão nervosa. Para pessoas que não podem fazer uma ressonância (por exemplo, as pessoas com marca-passo), geralmente, a tomografia já se faz suficiente. O médico pode determinar, então, se há ou não compressão nervosa.

Quais os tratamentos?

Tratamento conservador

Nas fases iniciais em que a Estenose é leve e os sintomas são frustros (dor axial lombar) realizamos apenas tratamentos sintomáticos com medicamentos e fisioterapias.

Tratamento cirúrgico

Nas fases avançadas, onde a Estenose do canal é moderada e grave com sintomas parestésicos (dor radicular e perda de força muscular), a descompressão radical com Artrodese do segmento se faz necessária.

A descompressão simples sem correção de deformidade e estabilização com artrodese não é recomendada, pois nestes casos sempre existe deformidade segmentar e o global da coluna vertebral além de instabilidade segmentar. A descompressão única sem correção de deformidade e estabilização por artrodese ocasiona estabilidade segmentar e agrava os sintomas a curto e médio prazo.

Dentre as cirurgias, pode-se optar pelas técnicas de cirurgia minimamente invasivas Artrodese de coluna via anterior – ALIF ou TLIF, depende da avaliação do caso concreto.

Estenose do canal vertebral cervical

Quais os sintomas?

Os sintomas geralmente são dor cervical, irradiação para membros superiores, parestesias nos braços e mãos e em fases iniciais, e nas avançadas, perda de força muscular, dificuldade para deambular e rigidez muscular (hipertonia de membros) e até atrofia muscular nos membros superiores.

Como é feito o diagnóstico?

O diagnóstico da Estenose do canal vertebral cervical geralmente envolve uma combinação de história clínica, exame físico e exames de imagem, como radiografias, tomografias computadorizadas ou ressonância magnética. Em alguns casos, o médico também pode solicitar exames neurológicos para avaliar a função nervosa através da eletroneuromiografia e potencial evocado.

Quais os tratamentos?

Tratamento conservador

O tratamento da Estenose do canal vertebral cervical pode incluir uma combinação de terapias conservadoras, como fisioterapia, exercícios, analgésicos e anti-inflamatórios não esteroides (AINEs).

Tratamento cirúrgico

Em casos mais graves, a cirurgia pode ser necessária para aliviar a compressão sobre a medula espinhal ou as raízes nervosas. A cirurgia pode envolver a remoção de tecido ósseo ou discal que esteja pressionando as estruturas nervosas.

Uma vez que a coluna cervical é flexível e abriga a medula nervosa, sempre que se faz a descompressão, causamos a instabilidade do segmento e não é recomendada a liberação simples sem artrodese e estabilização deste nível operado.

As cirurgias podem ser a Artrodese anterior da coluna cervical, posterior (Laminectomia) ou uma combinação das duas em casos graves com deformidade cervical.

A Espondilolistese é outra doença degenerativa da coluna. 

Infográfico

Conheça outras doenças da coluna.

No blog, você encontra mais artigos sobre Estenose do canal vertebral. Acesse!