Home » Cirurgias da coluna » Artroplastia Cervical
A Artroplastia Cervical, também conhecida como prótese de disco cervical, é um procedimento cirúrgico realizado para tratar condições degenerativas da coluna, como Hérnia de disco cervical, ou Discopatia Degenerativa cervical.
Não é indicado em mais de dois discos cervicais acometidos com grau de degeneração avançado, com grande achatamento do espaço discal. Quanto mais jovem o paciente, melhor são as indicações da Artroplastia.
Durante a Artroplastia Cervical, o disco cervical danificado é removido e substituído por um dispositivo artificial chamado prótese de disco cervical. Essa prótese é projetada para preservar o movimento natural da coluna cervical, ao contrário da fusão espinhal convencional, onde os discos são removidos e as vértebras adjacentes são fundidas, permitindo assim, a mobilidade natural da coluna.
O procedimento de Artroplastia Cervical é realizado sob anestesia geral. O cirurgião acessa a coluna cervical por meio de uma pequena incisão na parte frontal do pescoço. Em seguida, o disco cervical danificado é cuidadosamente removido. O espaço vazio é preparado para a inserção da prótese de disco cervical, que é presa às vértebras adjacentes. A prótese é projetada para manter o espaço natural entre as vértebras e permitir o movimento adequado.

Ao lado, exemplo de prótese discal que preserva o movimento no segmento operado.

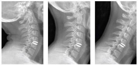
Aspecto radiográfico da prótese cervical e extensão, neutro e flexão.
A Artroplastia Cervical oferece várias vantagens em comparação com a fusão espinhal convencional, também chamada Artrodese de coluna. Essas vantagens incluem:
Preservação do movimento
Ao contrário da Artrodese de coluna, onde as vértebras são fundidas, a Artroplastia Cervical permite manter a mobilidade natural da coluna cervical. Isso pode ajudar a preservar a amplitude de movimento e reduzir o estresse nas vértebras adjacentes (chamada doença discal adjacente).
Recuperação mais rápida
A Artroplastia Cervical minimamente invasiva geralmente resulta em uma recuperação tão quanto a artrodese.
Menor risco de complicações
A Artroplastia Cervical tem um risco igual de complicações relacionadas à fusão óssea, tendo um risco maior de soltura da prótese em relação à artrodese.
Como qualquer procedimento cirúrgico, a Artroplastia Cervical também apresenta riscos e possíveis complicações. Alguns desses riscos incluem infecção, sangramento, lesão nervosa, reação à anestesia, problemas de cicatrização e rejeição da prótese. É importante discutir esses riscos e benefícios com o cirurgião antes de tomar uma decisão sobre o procedimento.
Após a Artroplastia Cervical, o período de recuperação pode variar de pessoa para pessoa. Geralmente, os pacientes são encorajados a realizar fisioterapia para ajudar na reabilitação e fortalecimento dos músculos do pescoço. O retorno gradual às atividades normais ocorre conforme a orientação médica, e é importante seguir as instruções de cuidados pós-operatórios fornecidas pelo cirurgião.
No blog, você encontra mais artigos sobre Artroplastia cervical. Acesse!